Building a T1 map for heart analysis Exporting and importing markers

Displaying values and
configuring scalar maps for DTI

Mission statement

Our mission is to expand the boundaries of what is visible and possible for doctors.

By providing high-quality innovative IT solutions for medicine, we contribute to improving people's health worldwide. The feeling of the value of their work, the awareness of the importance of the tasks facing 21st-century medicine, and the pleasure of solving them attract both promising yesterday's students and experienced professionals with academic degrees to Ekawira.

development SOFTWARE

Completed projects

Ekawira  is actively involved in the development of software products and services for third-party companies operating in the medical field. 

Programming languages and technologies

Thanks to their extensive experience in custom software development, Ekawira specialists have developed expertise in the most popular programming languages and development technologies.

Integration

Ekawira offers state-owned medical institutions and private medical clinics a comprehensive supply of its own software products, including fully equipped, ready-to-use doctors' workstations, as well as server equipment for servicing companies' business processes by IT departments.

Corporate technical support services (SLA)

Ekawira offers corporate technical support services to owners and IT directors of diagnostic center and medical clinic networks, ensuring that their employees can access Inobitex software products and services on time and within their budget.

Showcase

Ekawira recent products

software development

Programming languages and technologies

Thanks to their extensive experience in custom software development, Ekawira specialists have developed expertise in the most popular programming languages and development technologies.

 
 
building successful software solutions in

Medical Field since 2023

0
designers and
developers
0
Service
support
Technical support

Got a project?

Ask a question or report a problem

This website stores cookies on your computer. Cookie Policy

Dicom-Vier PACS

Designed for archiving, quick access, and transfer of images (studies) obtained from various DICOM equipment   Windows and Linux OS support   Working with…

View Project

Dicom-Vier WEB

Download the Ekawira Web DICOM Viewer distribution for your operating system and install it locally   Improved seamless integration with MIS, RIS, and RASS…

View Project

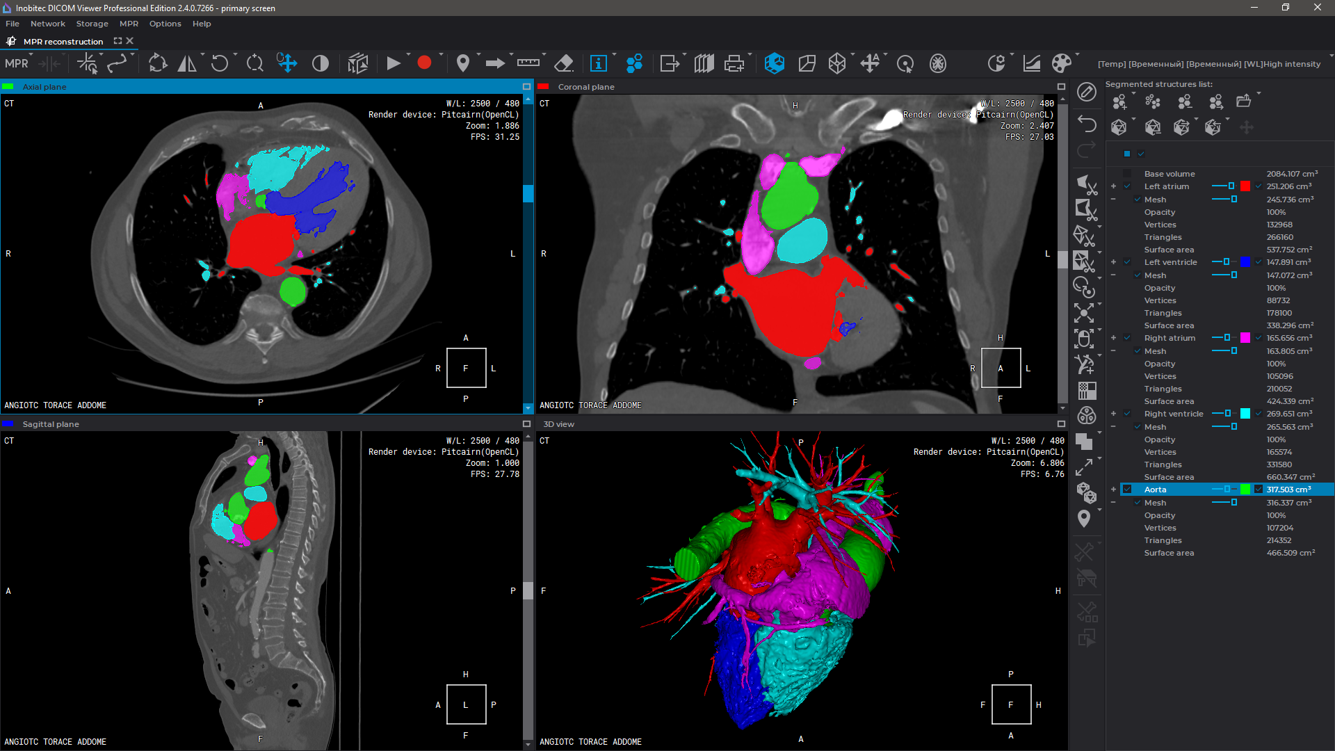
Dicom-Vier PRO

Dynamically evolving edition (released every 3 months) Advanced functionality   Advanced capabilities for working with 3D reconstructions    Export surfaces in OBJ, STL, PLY,…

View Project